診療メニュー
大学病院にもひけをとらない設備また体制を整えております。一般歯科、小児歯科、口腔外科、矯正歯科などあらゆるお口のトラブルに対応しております。なかでも歯科用顕微鏡を用いた治療や噛み合わせ治療を最も得意としております。まずはお気軽にお電話ください。
顕微鏡歯科
全国でも数少ない日本顕微鏡歯科学会認定医である副院長が、最新鋭の歯科用顕微鏡を用いて治療にあたります。口腔内の治療の状況を常に患者さまと画像で共有しながら計画的に緻密な治療を行ってまいります。虫歯治療や型取り治療、歯周治療にいたるまでありとあらゆる場面で高い治療効果を発揮します。中でも根管治療の際にはその複雑性から特に高い効果を発揮します。
噛み合わせ治療(咬合構築)
患者さまが訴える口腔内の違和感は実は噛み合わせに起因していることが多いと言われています。症状が悪化してくると肩こりや偏頭痛など全身に影響を及ぼすことも少なくありません。
熟練した院長による噛み合わせ治療は多くの患者さまに支持されこのような不快症状の改善に結果を出しています。
一般歯科
虫歯や歯周病など口腔内の不具合をきちんと把握し治療にあたります。ルーペや歯科用顕微鏡を使用することにより低侵襲での治療を心がけております。
小児歯科
お子さまの成長に合わせた最適な治療を行います。どんな小さな虫歯でも見過ごすことのないようしっかりとケアしていきます。歯並びや噛み合わせについても専門医が的確にアドバイスいたします。
歯科口腔外科
親知らずなどの抜歯、口腔粘膜疾患、口の中のガンなどの診断等、経験豊富な専門医が治療にあたります。
インプラント治療
インプラント治療は、骨の中にインプラントを埋め込み約4か月間、骨と結合するのを待った後に人工の被せ物を入れて元あった歯と同じように機能させる治療です。入れ歯のように取り外しをしなくてよくなりますし自然に噛めるようになります。当院では経験豊富な日本口腔インプラント学会専門医が施術にあたりますので安心して治療を受けていただくことができます。
※インプラント治療は自由診療となります。
矯正歯科
当院では、審美面だけでなく、歯のもつ機能を最大限に発揮するための矯正を推奨します。まずは、ご希望をお聞かせください。
審美歯科
審美歯科はただ見た目を美しくするためだけのものと捉えていません。まずは、むし歯の有無、噛み合わせなど、口腔内の状態をチェックし、問題がないことを確認してから(もしくは問題を解消したうえで)治療に入ります。
審美治療で大切なことは、ただ色を合わせるだけではなく、5年、10年先を見据えて、しっかり型をとって精密な被せものを入れることだと考えています。
ダイレクトボンディング 術前
ダイレクトボンディング 術後
上記症例説明
金属が気になるということで金属を除去後、コンポジットレジンという材料で修復していきました。基本的に1回で1歯の治療を完了できます。虫歯が事前に分かる状態であれば保険適用で処置する場合もありますが審美目的の場合は自由診療になります。
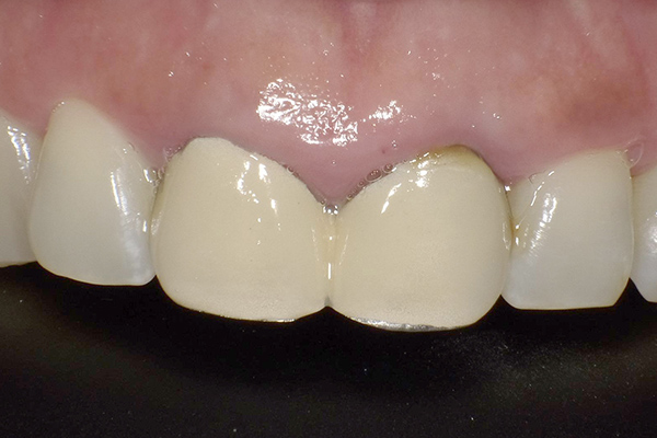
前歯審美補綴 術前
前歯審美補綴 術後
上記症例説明
歯周治療をした後に歯茎の高さを合わせて被せ物をやり直しています。被せ物はセラミクスで保険適用の材料にくらべより審美的にお口の中になじんでいるのが分かります。
前歯部〜臼歯部審美補綴 術前
前歯部〜臼歯部審美補綴 術後
上記症例説明
術前の状態はコンポジットレジンが不適切に詰められていて段差に着色したり隙間が空いている状態でした。根管治療や土台治療をやりなおしジルコニアを併用したセラミクスにて被せ物を入れています。ツヤ感など自然な形で口腔内にマッチしています。技工士と連携することでこのように審美的に治療することが可能です。
前歯部審美補綴 術前
前歯部審美補綴 術後
上記症例説明
術前ではかなり虫歯が進行しており歯茎も腫れていることが分かります。喫煙の影響で歯茎も黒くなっています。
歯茎に対してはガムピーリングを2回行い審美的にも健康的なピンク色の歯茎を取り戻しました。被せ物はジルコニアを用いたセラミクスを使用しており天然歯のような自然感を再現しています。
ホワイトニング
薬液による化学反応を利用して、歯の色素を分解するのがホワイトニングです。歯そのものを白くすることができるため、審美性(見た目の美しさ)を追求したい方はご相談ください。なお、ホワイトニングには当院内で実施し、一度である程度の白さを実現する「オフィスホワイトニング」と、マウストレーを作った後はご自宅でジェルをつけて装着し、少しずつ歯を白くしていく「ホームホワイトニング」があります。
予防歯科
当院では顕微鏡歯科治療を究極の予防と捉えています。肉眼では観察しきれない虫歯等トラブルを正確に歯科用顕微鏡等で把握することができれば早期に問題解決することが可能となります。
その上でPMTCという専門的なクリーニングを行うことで最良の予防歯科ができると考えています。
